前ページ

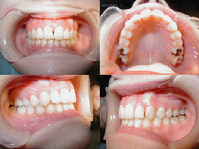
 開咬(オープンバイト)治療前
きれいな歯並びですが、かみ合わせがよくありません。奥歯1本しか噛んでいません。どうやって、食べたりしゃべったりしているのでしょう?約11ヶ月治療後
よく噛めるようになって、食べ方がきれいになりました。もちろん、非抜歯です。

 
にしくぼ歯科医院